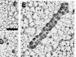
世界初!試験管内ポリソーム像
世界で初めて試験管内でのポリソームの電子顕微鏡像の撮影に成功!
真核生物の細胞内では、1つのmRNAに数個から数十個のリボソーム(タンパク質合成するための生物学的マシーン)がついて、タンパク質を合成している電子顕微鏡像が得られていました。私達は、自分たちで作ってきたタンパク質合成系で同じ様な像を観ることができないか調べてみたところ、簡単に電子顕微鏡像を得ることが出来ました。これは、従来より安定で高効率なタンパク質合成系だからできたのです。また、面白いことに私達が新しくデザインしたmRNAでも、真核型のmRNAと同じようにポリソームを形成することがわかり、電子顕微鏡レベルで私達が新しくデザインしたmRNAの機能が同等であることがわかりました。

HOME
Cell-free tech
Research
Paper outline
Member
Publication
Funds
Contact us
Link
Photo
講義用資料
Paper
Paper
Paper
Paper
Paper
Paper
Paper